Votre compte a été créé avec succès !
Merci !
0
0 €
0 €
0
0 €
0 €
Total
€
Merci !
Votre compte a été créé avec succès !
Les triangles noirs interdentaires sont aujourd’hui une cause fréquente d’insatisfaction esthétique chez les patients adultes. Face à cette problématique, lorsque la chirurgie n’est pas envisageable ou non suffisante, une technique se distingue par son excellent rapport bénéfice/risque : la fermeture des triangles noirs par composites directs.
Développée et illustrée dans les cas cliniques du Dr Marie Clément, cette approche s’inscrit pleinement dans la dentisterie moderne : conservatrice, esthétique et reproductible.
Les triangles noirs correspondent à des espaces visibles entre les dents au niveau cervical, liés à une insuffisance, une perte de la papille gingivale, ou une forme de dent triangulaire. Ces espaces sont souvent perçus comme inesthétiques et constituent un motif de consultation croissant en dentisterie esthétique.
Au-delà de l’aspect purement esthétique, les triangles noirs peuvent entraîner :
L’objectif du traitement est donc double :
La technique consiste à modifier la morphologie des dents en ajoutant du composite au niveau des zones proximales afin de :
Résultat : un sourire immédiatement plus harmonieux et rajeuni.
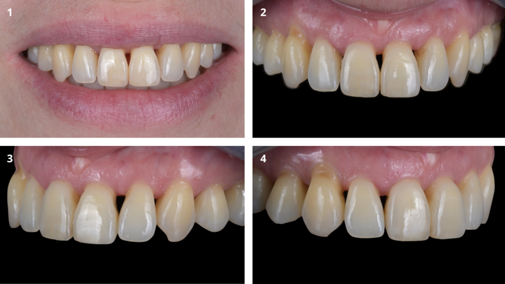
Une patiente d’une cinquantaine d’années consulte pour améliorer l’esthétique de son sourire. Elle présente plusieurs triangles noirs dans le secteur antérieur maxillaire, responsables d’une gêne esthétique importante. Madame a suivi un traitement parodontal et a maintenant un suivi parodontal régulier et une hygiène buccale adaptée. (Images 1 à 4)

La fermeture des triangles noirs par restaurations composites directes a été retenue. Objectif : rajeunir le sourire par allongement de la zone de contact et modification de la morphologie coronaire.
• Isolation : Mise en place du champ opératoire sur les dents 14 à 24. (image 5)
• Préparation dentaire : Micro-sablage à l’oxyde d’alumine sur les zones proximales. (Image 6)
• Adhésion : Mordançage de l’émail (30 s) sur les zones proximales (Images 7 et 8 ), rinçage, application d’un adhésif universel photopolymérisé.

• Application du composite : Injection de la résine composite fluide au niveau des zones proximales afin de réduire visuellement l’espace noir. (Images 9 et 10)
• Finition et polissage : Elimination des excès, positionnement des lignes de transition proximales et brillantage (Image 11)

Le résultat post-opératoire immédiat montre une fermeture esthétique des triangles noirs, avec une intégration optique et morphologique satisfaisante. Le sourire retrouve une apparence plus jeune et harmonieuse. (Images 12 à 16).

Avec l’augmentation des demandes esthétiques, la maîtrise des composites directs devient une compétence incontournable. Se former permet de :
Le Docteur Marie Clément organise des sessions limitées à un petit groupe de 8 praticiens maximum, sur deux journées dédiées à la mise en place du champ opératoire et des composites. Rendez-vous ici pour en savoir plus.

La fermeture des triangles noirs par composites directs représente aujourd’hui une solution de choix en dentisterie esthétique moderne.
À la fois conservatrice, efficace et accessible, elle permet de répondre à une demande croissante tout en respectant les tissus dentaires.
Pour les praticiens, il s’agit d’une technique à forte valeur ajoutée, tant sur le plan clinique qu’économique.
Retour
N’hésitez pas
à nous contacter !